2025年11月22日

渋谷歯医者矯正歯科の澤田尚哉です。
本日のブログのテーマは『銀歯って歯に悪いの?当院のメタルフリー治療|渋谷の歯医者が解説』です。
「昔入れた銀歯ってそのままで大丈夫?」
「セラミックとの違いって何?」
「保険でできる白い素材もあるって本当?」
こうした質問は、当院でも非常に多くいただきます。
結論からお伝えすると、
「銀歯=悪い」わけではありませんが、現代の歯科医療ではメタルフリー治療の方が歯を長持ちさせやすいという明確なエビデンスがあります。
今回は、銀歯のデメリット、セラミック診療との比較、メタルフリー治療のメリットを、渋谷の歯科医として詳しく解説します。


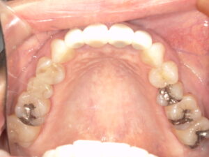
銀歯はなぜ問題になるの?
日本の保険診療で長年使われてきた銀歯(金銀パラジウム合金)。
しかし、近年では以下のような問題が指摘されています。
① 銀歯は“歯との隙間”ができやすい
金属は温度変化で膨張・収縮する性質があります。
つまり、冷たいもの・温かいものを食べるたびに、微妙に伸び縮みします。
この繰り返しで
➡ 歯と銀歯の境目にわずかな隙間が生じやすい
➡ その隙間から虫歯菌が侵入
➡ 「2次カリエス(再発)」につながる
銀歯の虫歯の再発率は約50%以上(10年以内)という報告があります(J Dent Res, 2013)。
② 金属アレルギーのリスク
銀歯に含まれるパラジウム・ニッケルは金属アレルギーの原因になることがあります。
症状は口内炎だけでなく、手湿疹、皮膚炎として出ることもあります。
③ 歯ぐきが黒くなる(メタルタトゥー)
金属イオンが溶け出すことで、歯ぐきが黒っぽく変色することがあります。
特に前歯などは笑った際に目立ってしまいます。
④ 見た目が悪く、経年劣化も目立つ
審美的に自然ではなく、口を開けたときに金属が見えるデメリットがあります。
また経年劣化で錆びてしまう場合もあります。
保険でできる白い素材「CR」と「CAD/CAM冠」
「銀歯以外=全部自費」というわけではありません。
保険でも白い素材が選べる場合があります。
① CR(コンポジットレジン)|小さな虫歯に最適

プラスチック単体の白い詰め物。
✔ メリット
・その日のうちに治療完了
・銀歯より歯を削る量が少ない
・費用が安い(保険適用)
・見た目が自然
✔ デメリット
・経年劣化で着色・変色する
・強度が弱く、大きな虫歯には不向き
・剥がれやすいため長持ちしない
✔ 長持ち度
CRは耐用年数が2〜3年です(しっかりとしたケアをすれば5年以上使える方もいらっしゃいます)。
歯を削る量は少ないものの、長持ちはしにくいです。
② CAD/CAM冠(ハイブリッド樹脂)|保険での白い被せ物
“レジン+セラミック粉末”のハイブリッド素材を機械で削り出したもの。
✔ メリット
・保険で白い被せ物ができる
・金属アレルギーの心配が少ない
✔ デメリット
・セラミックより強度が低い
・すり減りやすい
・変色しやすい
✔ 長持ち度
CAD/CAM冠は耐用年数が5〜7年で、素材の劣化がやや早いのが課題です。
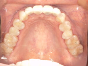
セラミック治療(自費)は本当に長持ちするの?
セラミックは「高いけど長持ちする」と言われますが、実際どうなのでしょう?
オールセラミックの10年生存率➡ 約90〜95%
(Journal of Dentistry, 2020)
銀歯やCRと比べると、明らかに長持ちします。
✔ 理由①:歯との接着力が強い
接着技術の進化により、“歯とセラミックが一体化”します。
そのため、隙間ができにくく虫歯の再発が極めて少ない。
✔ 理由②:劣化しない
セラミックは吸水しないため、変色・劣化・摩耗がほとんどありません。
セラミックが割れる可能性はありますが、歯の寿命を守ってくれます。
✔ 理由③:歯ぐきとの相性が良い
金属のように溶け出さないため、歯ぐきが黒くなる心配がありません。
また表面がツルツルしているためプラーク(細菌)の付着が抑えられます。
当院が“メタルフリー治療”を推奨する理由
当院では、銀歯を無理に外すことはありませんが、
患者様の歯の将来を考え、メタルフリー治療を推奨しています。
✔ 理由1|再発リスクが低く、長持ちする
セラミックの接着は非常に強固で、治療の“予知性”が高い。
歯の寿命を守ります。
✔ 理由2|見た目が自然で清潔感がある
銀色が白色に変わることで、口元の印象が大きく改善。
✔ 理由3|歯ぐきに優しい
金属アレルギーやメタルタトゥーの心配がないです。
✔ 理由4|歯を守れる
銀歯よりも最終的に削る量を少なく済ませられます。
銀歯の方がその瞬間は削る量が少ないこともありますが、銀歯で2次カリエスになるとより削る量が増えてしまいます。
まとめ|銀歯が悪いのではなく、時代が“メタルフリー”に進化した
・銀歯は再発リスクが高く、10年以内に約50%がトラブルを起こすと言われています。
・CRは小さな虫歯に良いが、長期予後はやや不安です。
・CAD/CAM冠は保険で白いが、耐久性はセラミックに劣ります。
・セラミックは10年生存率90%以上で、最も予知性が高い
当院では、「歯を長く守るために、もっとも再発しにくい方法」を大切にし、メタルフリー治療をご提案しています。
「銀歯を白くしたい」「自分の場合はどれがいい?」など気になる方は、ぜひ一度ご相談ください!!