ダイレクトボンディング
ダイレクトボンディング
当院では、見た目の美しさと歯へのダメージの少なさを両立できる、ダイレクトボンディング治療を行っています。
ダイレクトボンディングとは、高品質なレジン(樹脂)を直接歯に盛り付け、形や色を1本1本丁寧にデザインする審美修復治療です。
天然歯のような透明感や質感を再現できるため、近年非常に人気が高まっています。
歯をほとんど削らない
従来のセラミック修復と比べ、削る量を最小限に抑えられます。(全く削らない症例もあります)
「できるだけ歯を削りたくない」「神経を残したい」という方に最適です。
1日で治療が完了
ほとんどのケースは“即日1回”で仕上がります。
忙しい方や、イベント前にすぐ見た目を整えたい方にも向いています。
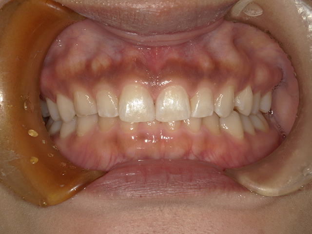
自然で美しい仕上がり
使用するレジンは、色調・明度・透明感を細かく調整できる審美レジン。
歯科医師が職人のように層を重ねながら形を作り、天然歯と見分けがつかない仕上がりを目指します。
すきっ歯・欠けた歯の修復に最適
などに特に適しています。
上記のような方にとても向いている治療です。
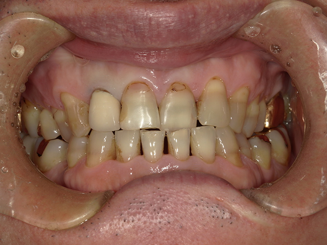
カウンセリング
お悩みをヒアリングさせていただき、治療方法の説明と、それぞれのメリットデメリットをお伝えします。
ダイレクトボンディングの適応の場合治療の準備を進めます。
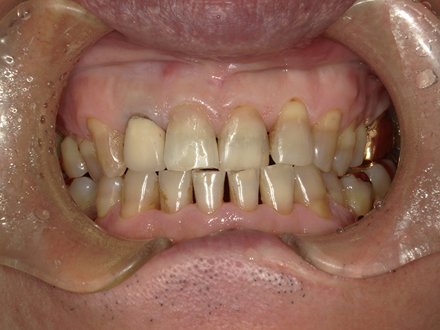
資料どり
お写真やお口の模型を取ります。
ワックスアップ・コアの作成

最終的な歯の模型とそれを再現するための土台を作成します。
施術
模型をもとに口腔内でレジンを盛ります。
そのため、症例によっては矯正治療やセラミック治療との併用をご提案することもあります。


| 治療内容 | ダイレクトボンディング |
|---|---|
| 治療回数 | 1〜2回 |
| 費用 | 55,000円×2本 |
| リスク・副作用 | 経年劣化、着色 |


| 治療内容 | ダイレクトボンディング |
|---|---|
| 治療回数 | 1〜2回 |
| 費用 | 55,000円×2本 |
| リスク・副作用 | 経年劣化、着色 |
TOP