矯正|渋谷駅の歯科・歯医者なら【渋谷歯医者・矯正歯科】|土日祝診療

矯正中の生活ってどう?食事・会話・お手入れの渋谷の歯医者のリアル体験談
2025年11月25日

矯正の仕上がりを綺麗にするために。トルクって?|渋谷の矯正歯科医が詳しく解説
2025年11月17日

矯正治療の必需品。顎間ゴムって?渋谷の歯科医が解説!
2025年10月23日

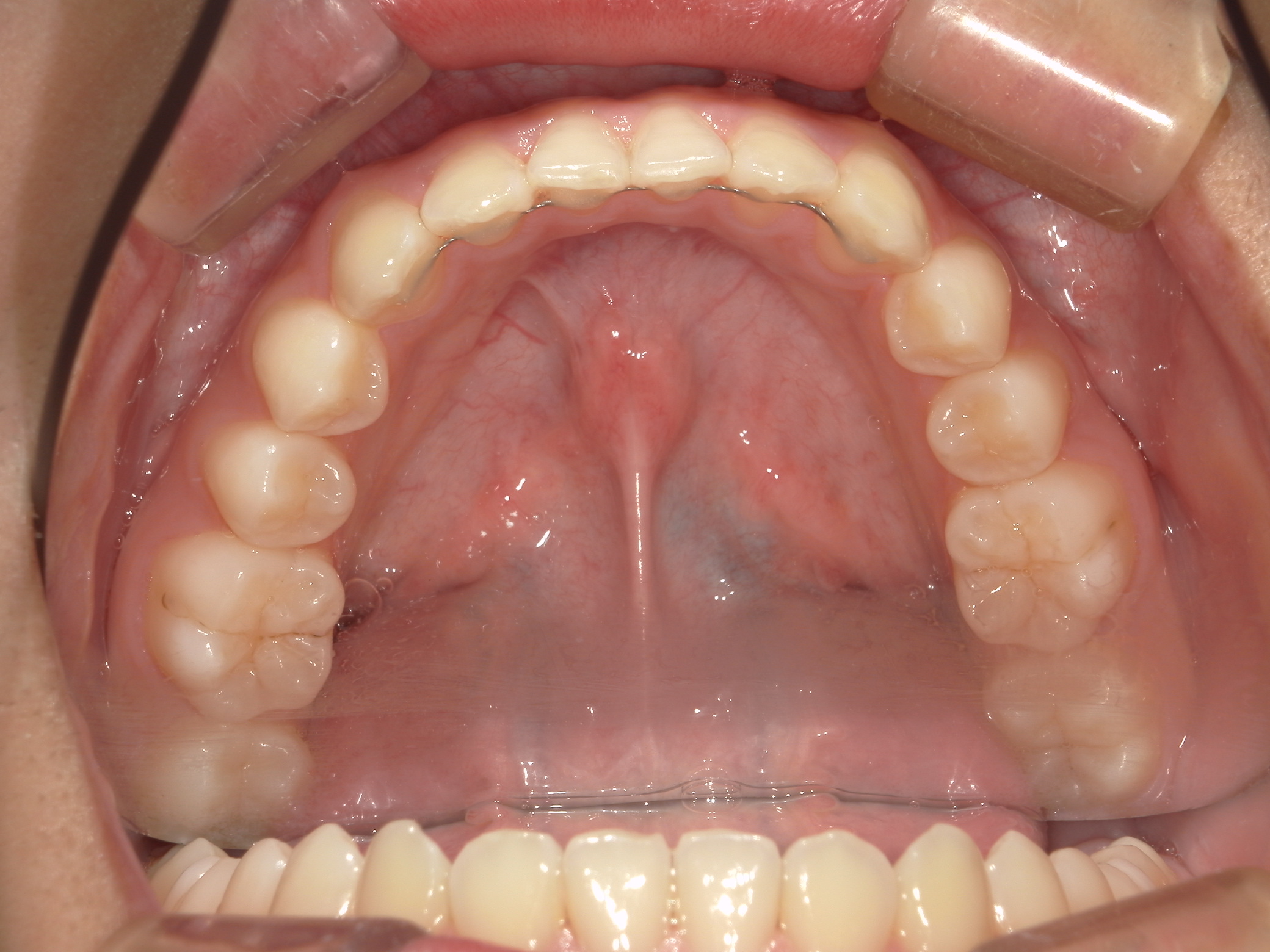
矯正後の保定ってどれくらいしたらいいの?どんな種類があるの?
2025年10月20日

渋谷で矯正するなら料金はどれくらい?
2025年10月13日

20代から始める歯科矯正〜渋谷で人気のマウスピース矯正とは?
2025年9月21日